MISOFULL ORTHODONTIC TREATMENT

인비절라인 퍼스트

성장기 아동에게 최적화 된 인비절라인 퍼스트로

우리 아이의 바르고 건강한 미소를 지켜주세요!

MISOFULL ORTHODONTIC TREATMENT

인비절라인 퍼스트

성장기 아동에게 최적화된 인비절라인 퍼스트로

우리 아이의 바르고 건강한 미소를 지켜주세요!


성장기 아동 맞춤 투명교정장치

인비절라인 퍼스트


인비절라인 퍼스트는

3D 스캔과 디지털 치료 계획을 바탕으로 어린이들의

치아 크기와 특성을 고려해 설계된 투명교정장치입니다.


혼합 치열기에 적용되어 영구치가 맹출 될 공간을 확보하며, 

턱뼈 성장을 바르게 유도해 추후 2차 교정이나 

수술 교정이 이루어질 가능성을 감소시킬 수 있습니다.


성장기 아동 맞춤 투명교정장치

인비절라인 퍼스트

3D 스캔과 디지털 치료 계획을 바탕으로

어린이들의 치아 크기와 특성을 고려해 설계된

투명교정장치입니다.


혼합 치열기에 적용되어 영구치가 맹출 될 

공간을 확보하며, 턱뼈 성장을 바르게 

유도해 추후 2차 교정이나 수술 교정이 이루어질

가능성을 감소시킬 수 있습니다.




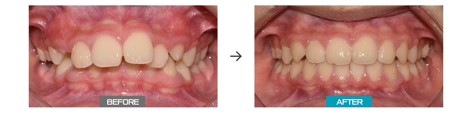
부작용 고지: 치아탈회, 치근흡수, 블랙트라이앵글, 치아재발 등

본원에서 치료받으신 환자분의 사례로 동의를 얻어 활용함을 안내드립니다.

개인에 따라 결과차이, 부작용 등이 발생할 수 있으므로

의료진과의 상담을 통해 신중히 결정하시기 바랍니다.

Before사진 촬영일자: 2024.08.14 / After사진 촬영일자: 2025.04.14

부작용 고지: 치아탈회, 치근흡수, 블랙트라이앵글, 치아재발 등


* 본원에서 치료 받으신 환자분의 사례로 2차적인 가공이 없으며, 환자분의 동의를 얻어 활용함을 안내드립니다.

개인에 따라 결과차이, 부작용 등이 발생할 수 있으므로 의료진과의 상담을 통해 신중히 결정하시기 바랍니다.

1차 교정이란

INVISALIGN FIRST


혼합치열기 어린이들의 턱뼈 성장과 맹출 된 치아에서 발생되는 문제를 확인해

올바른 턱의 성장을 유도하고, 영구치가 바르게 맹출 될 수 있도록 도와주는 예방교정입니다.


1차교정의 기대효과


우리아이 1차교정,

인비절라인 퍼스트가 유리한 이유는?


인비절라인 퍼스트는 심미성이 우수하며, 치아의 이동을 예측할 수 있어

성장기 어린이들에게 효과적인 교정장치입니다.

우리아이 1차 교정,

인비절라인 퍼스트

유리한 이유는?

인비절라인 퍼스트는 심미성이 우수하며,

치아의 이동을 예측할 수 있어

성장기 어린이들에게 효과적인 교정장치입니다.

효율적인 인비절라인 퍼스트로 치료받아 보세요!

기존 1차교정 VS 인비절라인 퍼스트

기존 1차교정장치
vs인비절라인 퍼스트
식사 시 장치제거 및 보관이 불편하다
편의성
장치제거 및 보관이 편리
장치 사용 시 과격한 운동을 할 수 없음
활동성플라스틱 소재의 가벼운 교정장치로
액티비티한 활동도 가능

문제가 되는 부분만 치료가능함.
악궁확장은 악궁환장만 가능

적용범위인비절라인 퍼스트 얼라이너 하나로
악궁확장, 치아재배열 모두 가능
4주에 한 번 내원하여 진행상태 체크
교정장치에 찔리거나 찝히는 등의
응급상황으로 인한 내원 가능성 높음

내원주기 / 응급상황6-8주로 긴 내원주기
플라스틱 소재의 말랑한 얼라이너 사용으로
응급상황 발생 가능성이 현저히 낮음


MISOFULL INVISALIGN

인비절라인 퍼스트,

미소가득치과일까요?

MISOFULL ORTHODONTIC TREATMENT

인비절라인 퍼스트, 왜 미소가득치과일까요?

교정결과를 미리 확인해 보세요!

가상교정 시뮬레이터 지원

미소가득치과는 I -TERO 디지털 구강 스캔과

인비절라인 시뮬레이터를 이용해

가상교정 시뮬레이션을 진행합니다.

교정치료 진행 여부를 신중히 결정하실 수 있도록 

시각화된 구강 데이터를 활용하여 

현재 구강상태, 치료 방향, 한계점에 대해

명확하게 안내드리고 있어 더욱 안심입니다.