MISOFULL ORTHODONTIC TREATMENT
인비절라인 교정
교정 중에도 심미와 편의를 누리고 싶다면 인비절라인을 선택해 보세요!
미소가득치과는 인비절라인의 인증을 받은 인비절라인 공식 인증 치과입니다.
MISOFULL ORTHODONTIC TREATMENT
인비절라인 교정
교정 중에도 심미와 편의를 누리고 싶다면
인비절라인을 선택해 보세요!
미소가득치과는 인비절라인의 인증을 받은
인비절라인 공식 인증 치과입니다.
부작용 고지: 치아탈회, 치근흡수, 블랙트라이앵글, 치아재발 등
본원에서 치료받으신 환자분의 사례로 동의를 얻어 활용함을 안내드립니다.
개인에 따라 결과차이, 부작용 등이 발생할 수 있으므로
의료진과의 상담을 통해 신중히 결정하시기 바랍니다.
인비절라인에 대한 더 많은 정보가 필요하다면?
미소가득치과
유튜브로 확인해 보세요!
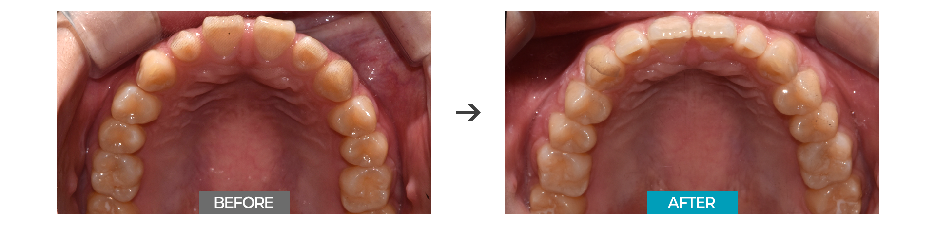
Before사진 촬영일자: 2021.10.01 / After사진 촬영일자: 2024.02.24
부작용 고지: 치아탈회, 치근흡수, 블랙트라이앵글, 치아재발 등
* 본원에서 치료 받으신 환자분의 사례로 2차적인 가공이 없으며, 환자분의 동의를 얻어 활용함을 안내드립니다.
개인에 따라 결과차이, 부작용 등이 발생할 수 있으므로 의료진과의 상담을 통해 신중히 결정하시기 바랍니다.
인비절라인에 대한 더 많은 정보가 필요하다면?
미소가득치과 유튜브로 확인해보세요!
MISOFULL Invisalign
인비절라인, 왜 미소가득치과일까요?
인비절라인 투명교정,
이런 분들께 추천드려요!
MISOFULL INVISALIGN
인비절라인 ,
왜 미소가득치과일까요?
Invisalign Digital orthodontics Process
인비절라인
디지털 교정 Process
미소가득치과는 디지털 진단 및 분석 과정과 더불어
숙련된 의료진의 교정 노하우로
환자 맞춤형 교정치료가 가능합니다.
Invisalign Digital orthodontics Process
인비절라인 디지털 교정 Process
미소가득치과는 디지털 진단 및 분석과정과 더불어
숙련된 의료진의 교정 노하우로 환자 맞춤형 교정치료가 가능합니다.
디지털 진단
3D CT 및 구강스캐너 등
디지털 진단장비를 이용한 정밀진단
디지털 치료계획
Clin Check software를 이용한
치료계획 및 치아이동 경로/결과 예측
디지털 장치제작
3D Printing 기술을 이용한
교정 장치 제작 및 배송
결과를 예측하는
인비절라인 Clin Check
인비절라인의 Clin Check Software의 사용으로
환자의 초기 상태부터 최종 교합 상태까지
모든 치료 단계 시뮬레이션이 가능합니다.

Invisalign Simulator
시각자료 기반의
꼼꼼한 설명
아이테로를 이용한 빠르고 편안한 디지털 스캔,
교정 시뮬레이터를 이용해 인비절라인 치료 후
최종 교합을 미리 확인하고 치료를 진행해 볼 수 있습니다.
구역감 없이 편안한 인상채득
아이테로 구강스캐너 사용
미소가득치과는 인비절라인의 전용 스캐너인
아이테로를 사용하여 인상채득 시 경험할 수 있는 불편감을 줄이고,
정밀도는 높여 구강상태에 딱 맞는 정교한 장치를 제작합니다.
결과를 예측하는
인비절라인 Clin Check
인비절라인의 Clin Check Software의 사용으로
환자의 초기 상태부터 최종 교합 상태까지
모든 치료 단계 시뮬레이션이 가능합니다.


인비절라인 투명교정,
이런 분들께 추천드려요!
기술력의 차이를 느껴보세요
인비절라인 vs 기존투명교정
| 기존 투명교정 | vs | 인비절라인 |
| 일반 플라스틱 소재 | 교정장치 소재 | 특수플라스틱 스마트트랙 소재 |
| 결과 예측이 불가능 | 예측성 | Align사 디자인 소프트웨어 Clin check로 교정결과 예측가능 |
| 치아 이동 경로를 예측할 수 없어 매 내원 시 인상채득 필요 | 제작방식 | 치료계획을 바탕으로 본사에서 얼라이너를 3D 프린팅 및 일괄 배송 |
| 앞니 부분교정, 재교정 등 간단한 교정 케이스에 적용 | 교정범위 | 기존 투명교정의 범위를 포함해 발치교정, 중등도 이상의 케이스까지 적용가능 |
| 얼라이너가 잇몸을 덮는 형태 | 얼라이너 형태 | 치은선을 따라 컷팅 |
| 불규칙한 두께감 | 장치 두께감 | 얇고 일정한 두께로 밀착력이 좋음 |