MISOFULL ORTHODONTIC TREATMENT

자가결찰장치 교정

미세 철사나 고무링을 사용하지 않는 자가결찰 방식으로

통증과 불편함은 줄이고 교정속도는 빠르게!

MISOFULL ORTHODONTIC TREATMENT

자가결찰장치 교정

미세 철사나 고무링을 사용하지 않는

자가 결찰 방식으로 통증과 불편함은 줄이고

교정 속도는 빠르게!

자가결찰장치

결찰용 철사 대신 슬라이딩 도어 방식으로 

결찰하는 방식의 장치입니다.

와이어와 브라켓 간 마찰을 최소화하여 

치아의 효율적인 이동을 유도, 치료 기간과 

통증을 감소시켜 편안한 교정을 가능하게 합니다.


미소가득치과는 일본 Tomy사에서 제작된

세라믹 소재의 자가결찰 교정장치인 

Clippy-C (클리피씨) 로 교정을 도와드리고 있습니다.

자가결찰장치

결찰용 철사 대신 슬라이딩 도어 방식으로 결찰하는 방식의 장치입니다.

와이어와 브라켓 간 마찰을 최소화하여 치아의 효율적인 이동을 유도,

치료기간과 통증을 감소시켜 편안한 교정을 가능하게 합니다.


미소가득치과는 일본 Tomy사에서 제작된 세라믹 소재의

자가결찰 교정장치인 Clippy-C (클리피씨) 로 교정을 도와드리고 있습니다.



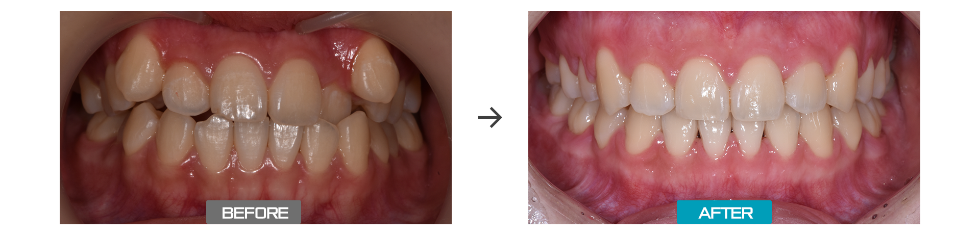
부작용 고지: 치아탈회, 치근흡수, 블랙트라이앵글, 치아재발 등

본원에서 치료받으신 환자분의 사례로 동의를 얻어 활용함을 안내드립니다.

개인에 따라 결과차이, 부작용 등이 발생할 수 있으므로

의료진과의 상담을 통해 신중히 결정하시기 바랍니다.

MISOFULL DENTAL CLINIC

자가결찰교정 적용대상

MISOFULL ORTHODONTIC TREATMENT

자가결찰 교정장치의 장점

미소가득치과

자가결찰 교정장치

Clippy-C

  • 교정 중에도 높은 심미성 유지
  • 약한 힘을 지속적으로 가하여 교정기간 단축가능
  • 마찰력이 줄어 효율적인 치아이동 가능

Clippy-M

  • 메탈소재로 클리피씨에 비해 경제적인 비용
  • 자가결찰 브라켓으로 기존 메탈교정의 불편함을 보완
  • 높은 내구성으로 파손 가능성 낮음

미소가득치과 자가결찰 교정장치

Clippy-M

Clippy-C

  • 메탈소재로 클리피씨에 비해 경제적인 비용
  • 자가결찰 브라켓으로 기존 메탈교정의 불편함을 보완
  • 높은 내구성으로 파손 가능성 낮음
  • 교정 중에도 높은 심미성 유지
  • 약한 힘을 지속적으로 가하여 교정기간 단축가능
  • 마찰력이 줄어 효율적인 치아이동 가능

자가결찰 교정장치의 장점

MISOFULL DENTAL CLINIC

자가결찰장치 교정 적용대상