MISOFULL DENTAL CLINIC

미소가득치과 사랑니발치

고난도 매복사랑니 발치도 OK!

환자의 구강상태와 사랑니 형태에 따른 환자 맞춤 치료계획으로 불편함을 개선합니다.

MISOFULL DENTAL CLINIC

미소가득치과 사랑니발치

고난도 매복사랑니 발치도 OK!

환자의 구강상태와 사랑니 형태에 따라

환자 맞춤 발치 계획으로

사랑니로 인한 불편함을 개선합니다.

WISDOM TEETH

사랑니란?

10대 후반부터 20대 초에 자라나는

큰 어금니 (제3대구치)로

사랑을 알게 되는 나이에 자라난다고 해서

 '사랑니'라고 불립니다.


구강 내에서 가장 안쪽에 자라나는 어금니로

영구치열이 완성된 후 맹출 되기 때문에

기형적으로 자라나거나

문제를 유발하기 쉬운 치아입니다.

WISDOM TEETH

사랑니란?      

10대 후반부터 20대 초에 자라나는 큰 어금니(제3대구치)로

사랑을 알게 되는 나이에 자라난다고 해서 '사랑니'라고 불립니다.
구강 내에서 가장 안쪽에 자라나는 어금니로 영구치열이 완성된 후 맹출 되기 때문에

기형적으로 자라나거나 문제를 유발하기 쉬운 치아입니다.


  사랑니 때문에 불편감을 느끼거나 통증이 발생한다면 치과에 내원해 검진받아보는 것을 추천드립니다.  

미소가득치과

사랑니발치 CASE


부작용 고지: 감각이상, 신경손상, 드라이소켓 등

* 본원에서 치료 받으신 환자분의 사례로

환자분의 동의를 얻어 활용함을 안내드립니다.

개인에 따라 결과차이, 부작용 등이 발생할 수 있으므로

의료진과의 상담을 통해 신중히 결정하시기 바랍니다.

사랑니, 꼭 뽑아야 하나요?

사랑니가 바르게 자라났고 위생관리에 문제가 없다면

뽑지 않아도 무방하지만 사랑니로 인해

불편감을 느끼고 있거나 문제를 유발할 

가능성이 있다면 발치를 권장 드립니다.

난도 높은 매복사랑니 발치

매복사랑니란?

사랑니가 완전히 맹출 되지 않고 잇몸 아래 묻혀있는

형태의 사랑니를  매복 사랑니라고 합니다.

매복 사랑니는 함치성 낭종, 염증 유발, 턱뼈 손상 등의

문제를 유발할 수 있어 발치해 주는 것이 좋습니다.


부분매복

수직매복


원심경사 매복

수평매복

사랑니 발치

숙련된 의료진에게

받으셔야 합니다

사랑니는 신경관, 상악동 등과 가깝게 맞닿아 있어 

잘못 발치할 경우 상악동천공, 감각이상, 

신경 손상 등의 부작용이 발생할 수 있습니다.

따라서 해부학적 지식과 경험이 풍부한

의료진에게 치료받는 것이 좋습니다.

 미소가득치과는 

 대학병원의 진료가 필요한 

 높은 난이도의 사랑니 발치까지 가능! 


매복사랑니란?

사랑니가 완전히 맹출 되지 않고 잇몸 아래에 묻혀있는 형태의 사랑니를 매복 사랑니라고 합니다.

매복 사랑니는 함치성낭종, 염증 유발, 턱뼈 손상 등의 문제를 유발할 수 있어 발치해주는 것이 좋습니다.


수직매복

수평매복

부분매복

원심경사 매복

사랑니 발치는 

숙련된 의료진에게 받으셔야 합니다

사랑니는 신경관, 상악동 등과 가깝게 맞닿아 있어

잘못 발치할 경우 상악동천공, 감각이상, 신경 손상 등의 부작용이 발생할 수 있습니다.

따라서 해부학적 지식과 경험이 풍부한 의료진에게 치료받는 것이 좋습니다.


미소가득치과는  대학병원의 진료가 필요한 높은 난이도의 사랑니 발치까지 가능 합니다.

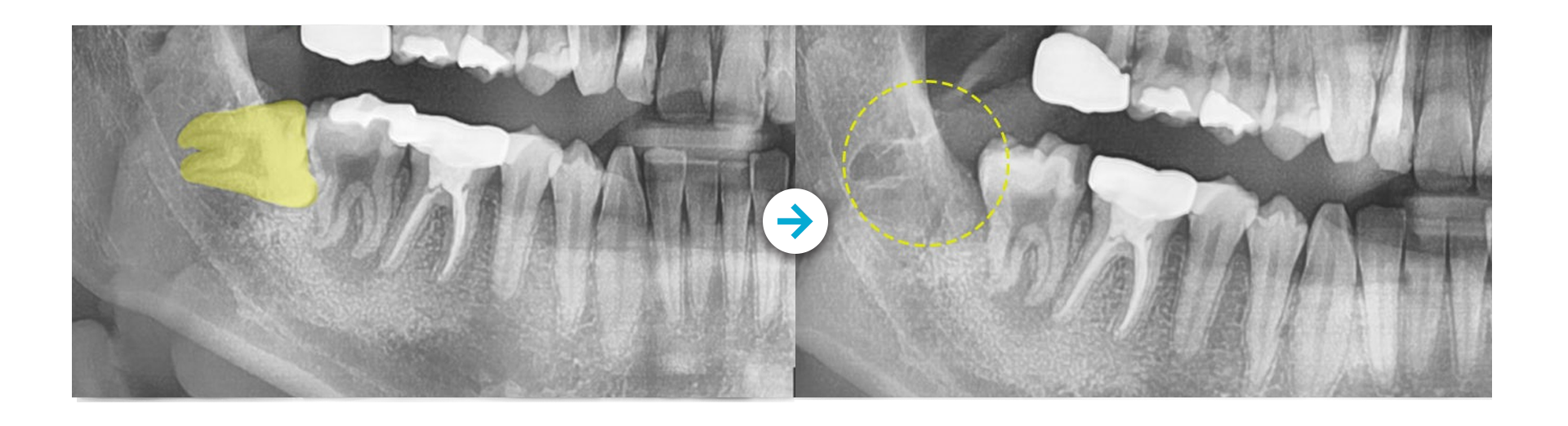
미소가득 매복사랑니 발치CASE ]

Before 사진 촬영일자: 2024.03.06 / After 사진 촬영일자: 2024.03.22


Before 사진 촬영일자: 2024.08.16 / After 사진 촬영일자: 2024.09.09


부작용 고지: 치아탈회, 치근흡수, 블랙트라이앵글, 치아재발 등


* 본원에서 치료 받으신 환자분의 사례로 2차적인 가공이 없으며, 환자분의 동의를 얻어 활용함을 안내드립니다.

개인에 따라 결과차이, 부작용 등이 발생할 수 있으므로 의료진과의 상담을 통해 신중히 결정하시기 바랍니다.

MISOFULL DENTAL CLINIC

미소가득치과

사랑니 발치 과정

MISOFULL DENTAL CLINIC

미소가득치과 사랑니 발치과정

환자의 통증과 두려움에 공감하는

미소가득치과 통증완화 시스템

미소가득치과는 치료 시 발생하는 통증은 줄이고,

편안한 치료 경험을 제공하기 위해 통증 완화 시스템을 운영하고 있습니다.

사랑니, 꼭 뽑아야 하나요?


사랑니가 바르게 자라났고 위생관리에 문제가 없다면 뽑지 않아도 무방하지만

사랑니로 인해 불편감을 느끼고 있거나 문제를 유발할 가능성이 있다면 발치를 권장 드립니다.

큰 문제가 없더라도 치과에 내원하여 사랑니 상태를 확인해 볼 것을 추천드립니다.

환자의 통증과 두려움에 공감하는

미소가득치과

통증완화 시스템

미소가득치과는 치료 시 발생하는 통증은 줄이고,

편안한 치료 경험을 제공하기 위해

통증 완화 시스템을 운영하고 있습니다.